
Cerebellum responds to language like cortical areas
One of four language-responsive cerebellar regions may encode meaningful information, much like the cortical language network in the left hemisphere, according to a new study.
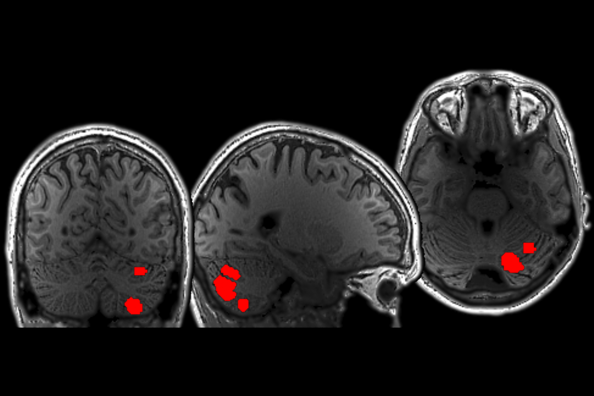
A region of the cerebellum shows language specificity akin to that of cortical language regions, indicating that it might be part of the broader language network, according to a new brain-imaging study.
“This is the first time we see an area outside of the core left-hemisphere language areas that behaves so similarly to those core areas,” says study investigator Ev Fedorenko, associate professor of brain and cognitive sciences at the Massachusetts Institute of Technology.
Initially thought to coordinate only movement, the cerebellum also contributes to cognitive processes, such as social reward, abstract reasoning and working memory, according to studies from the past decade. But despite the fact that people with cerebellar lesions have subtle language struggles, the region’s contributions to that skill have been ignored until recently, Fedorenko says. With this new work, “I think it becomes harder to dismiss language responses as somehow artifactual.”
Fedorenko and her team analyzed nearly 1,700 whole-brain functional MRI experiments conducted over the course of 15 years. They originally collected and analyzed those scans to identify language-selective regions of the neocortex, but they reanalyzed many of them to determine the cerebellum’s role in linguistic processing.
Four cerebellar regions activated robustly when participants performed language-related tasks, such as reading passages of text or listening to someone else reading the passages aloud, in line with previous work. But only one region responded exclusively to these language-related tasks; it did not activate during a variety of nonlinguistic tasks—including movement, arithmetic tasks and a spatial working memory task—or when participants listened to music or watched videos of faces and bodies.
The language-selective region in the cerebellum engages during both language comprehension and production—something previously thought to be unique to neocortical areas. And it strongly connects to the neocortical language network, the work suggests. The findings were published last month in Neuron.
“What this study did that was really nice is that they did language and nonlanguage comparisons in the same people while also looking at the individual-level structural data,” says Sara Guediche, assistant professor of neuroscience at Augusta University, who was not involved in the study. “There’s a lot more variability at the individual level, so it gives you a bigger picture.”
T
The cerebellar region is more selectively tuned to meaningful sentences than the neocortical language areas are. Grammatically accurate, meaningful sentences elicited strong responses in the neocortical language areas and the language-exclusive cerebellar area, but the cerebellar area was less responsive than the cortex to grammatical but meaningless “jabberwocky” sentences. The cerebellum may perform a different computation than the neocortical language areas, the results suggest.
There are inherent limitations to using fMRI, says Jörn Diedrichsen, professor of computer science and statistics at Western University, who was not involved in the study. Dense cortical projections from the left hemisphere to the cerebellum, for instance, make it difficult to discern cerebellar input from local computations in the region.
What’s more, how you define a language area—the subject of considerable debate in the field—matters, Guediche says, because it affects the interpretation of the data.
Meaningful sentences, nonwords and jabberwocky sentences may place different demands on cognitive processes, such as working memory, Guediche says. So it remains unclear what computations are happening in the language-selective cerebellar region, something that could be teased apart in future work, she says, adding that “that doesn’t take away from how great this study is.”
T
The team plans to tease out the region’s function in future studies, Fedorenko says. “Is it fully redundant with those neocortical areas?” Fedorenko asks. “If not, what are its unique contributions?”
The cerebellum may also play a large role in development, including language acquisition, Casto says. In pediatric populations, cerebellar injuries can lead to dramatic speech and motor deficits, warranting future studies on the cerebellum’s role in development.
“For a long time, people weren’t interested in the cerebellum in language,” Casto says. “This shows that language researchers need to be more seriously considering the cerebellum.”
Recommended reading
Shifting neural code powers speech comprehension
‘Wired for Words: The Neural Architecture of Language,’ an excerpt
New autism committee positions itself as science-backed alternative to government group
Explore more from The Transmitter
‘Wired for Words: The Neural Architecture of Language,’ an excerpt
Among brain changes studied in autism, spotlight shifts to subcortex